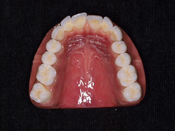
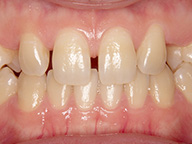
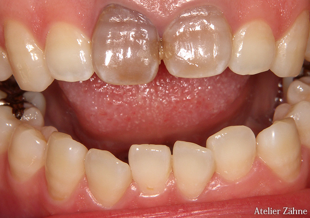
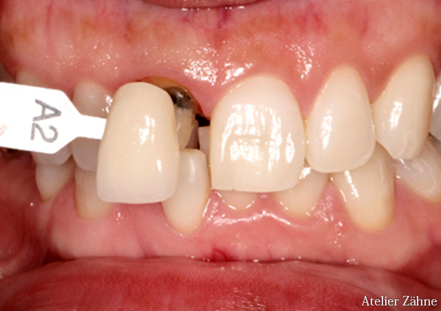
症例紹介

代表辻野が手掛けた症例をご紹介

一部ですが、当社が手掛けた症例をご紹介いたします。画像をクリックしていただきますと拡大します。

オールセラミック(ジルコニア、二珪酸リチウムプレスセラミックなど)

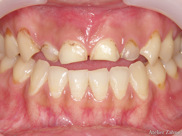
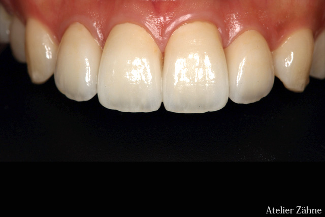
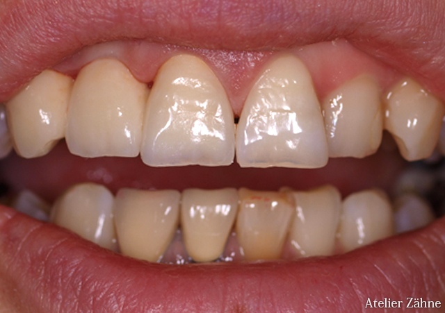
症例1
  • 症例1
  • 症例1
症例2
  • 症例2
  • 症例2
症例3
  • 症例3
  • 症例3
症例4
  • 症例4
  • 症例4
症例5
  • 症例5
  • 症例5
症例6
  • 症例6
  • 症例6
症例7
  • 症例7
  • 症例7
症例8
  • 症例8

    治療箇所:左の1番、
    2番、3番

症例9
  • 症例9

    治療箇所:インプラント含め、
    上の歯すべて

症例10
  • 症例10

    治療箇所:左の1番

症例11
  • 症例11

    治療箇所:両方の1番

症例12
  • 症例12

    術前

  • 症例12
症例13
  • 症例13

    術前

  • 症例13
症例14
  • 症例14
  • 症例14
症例15
  • 症例15
  • 症例15
症例16
  • 症例16
  • 症例16
症例17
  • 症例17
  • 症例17
症例18
  • 症例18
  • 症例18
症例19
  • 症例19
  • 症例19
症例20
  • 症例20
  • 症例20
症例21
  • 症例21
  • 症例21
症例22
  • 症例22
  • 症例22
症例23
  • 症例23
  • 症例23
症例24
  • 症例24
  • 症例24
症例25
  • 症例25
  • 症例25
症例26
  • 症例26
症例27
  • 症例27
  • 症例27
  • 症例27
症例28
  • 症例28
  • 症例28
  • 症例28

インプラント

症例1
  • 症例1
  • 症例1
症例2
  • 症例2
  • 症例2
  • 症例2
  • 症例2
  • 症例2
症例3
  • 症例3
  • 症例3
  • 症例3
症例4
  • 症例4
  • 症例4
  • 症例4
症例5
  • 症例5

    上顎全て

症例6
  • 症例6

    上顎全て

症例7
  • 症例7

    上顎前歯

メタルボンド

症例1
  • 症例1
  • 症例1
症例2
  • 症例2
  • 症例2
症例3
  • 症例3
  • 症例3
症例4
  • 症例4
  • 症例4
  • 症例4
  • 症例4